finally got copies of my MRI scans from last month. to bring you up to date, the last time i was at MGH was on a weekend and the medical records department was closed. this time around i managed to get there during business hours. i went up to the 8th floor of the founders building. after filling out a medical records release form and showing the clerk my id, she printed out something and slipped it into an envelope before handing it to me. "what's this?" i asked. "your records," she told me. "i'd like to get copies of my scans," i told her, realizing what she gave me wasn't what i wanted. she sighed warily, "you're in the wrong department. didn't you see the sign on the door? radiology is downstairs, in the sub-basement of building D." while making my way to building D i read my radiology report. "the visualized portion of the brain is unremarkable." ouch!
the radiology imaging department is not just located in the basement of building D, but the sub-basement. i'd imagine people who worked there so devoid of natural sunlight that they'd grow weak and pale. however, they seemed to be in good spirits. the woman at the front desk was very upbeat, and despite the fact that i didn't make a call first to order my images, she made me first priority on her list and burned my scans onto a cd for me while i waited in the small waiting space. across from me was a large framed poster of the woman i just talked to, birdie edwards, with a quote saying how much she enjoys helping people. so true!
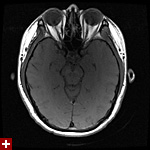
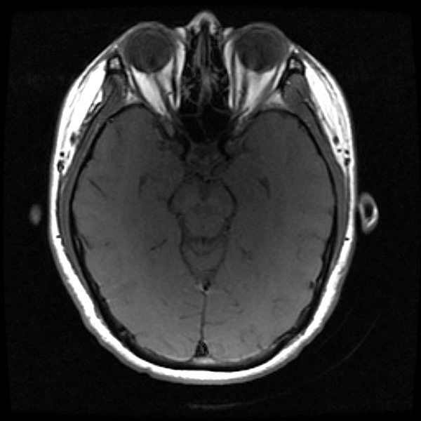
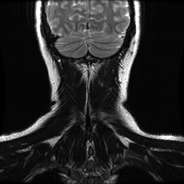
once i got back home and checked out my scans in osirix (the mac os x application to view DICOM medical imaging slides), i was blown away. talk about invasive: you haven't seen intimate until you've looked at photos of the inside of your body. the coolest part is since the scans were done in cross-sections, i can animate the scans so it looks like the beam is passing through my neck and head (all 800+ images). i've always known that inside my body was all sorts of muscles and veins and organs, but i guess i was hoping for something less messy, maybe circuit boards and memory chips instead. i know MRI's were first used in the late 60's, but this is my first time experiencing the technology in-person and it's pretty amazing. talk about futuristic! to be able to see with so much detail the insides of my body without having to cut me open! if scientists can do this, what else can they do? my only regret is they only imaged me from my shoulder up. i'd love to have a full-body scan. maybe i can fake some sort of internal injury and get my doctor to okay the procedure. i recommend anyone who's never had an MRI done to do so when they have the chance.
speaking of doctors, the main reason why i was at MGH this morning was for a follow-up appointment with my doctor. he basically told me that my MRI scans were fine as well as my blood work (he wrote me a letter a few weeks ago, so i already knew the news). since the pain in my neck had already disappeared,
i wasn't disappointment that we never figured out what was the cause. however, i did want to talk to him about the muffled hearing i've been experiencing in my left ear since as far back as october. he checked my ear and it seemed normal: no inflammation, no perforated eardrum. a look down my throat revealed nothing as well. lacking anymore clues he decided to throw a bunch of drugs at me to see if it'd clear up my sinuses, which seemed to be the root of the problem. besides taking some claritin-D (pseudoephedrine sulfate & loratadine), he also told me to take some sudafed as well (pseudoephedrine hydrochloride), a combination of antihistamine and decongestant. that's followed my some afrin nasal spray (oxymetazoline hydrochloride) plus the prescription strength nasal spray flonase (fluticasone propionate).
after i got back home i tried out this sinus drug cocktail. pseudoephedrine sulfate + loratadine + pseudoephedrine hydrochloride + fluticasone propionate. i saved the oxymetazoline hydrochloride for later. have you ever wondered what would happen if you took a bunch of cold medicine when you're not sick? i felt like i had a hole in my face as my entire respiratory system went on full crank. kind of like that sensation when you walk outside into the cold on a winter day and you feel like you can breathe in forever. the best part? my hearing came back!
with drugs coursing through my system, i biked to market basket to get some groceries. i would've motorcycled to MGH as well this morning, but the last time i parked in beacon hill i got a $60 ticket and wasn't looking forward for a repeat performance. besides, end of the month, ticketing is especially intense, and the weather was a little bit cool as well. after shopping, i stopped by the cafe for some lunch. my father told me they finally decided to get DSL at the cafe, but they can't decide whether to make it free for public use or charge a fee for anyone who wants to access the internet from their laptop.
when i got back home i started making the vanilla panna cottas, which is just a glorified sweetened milk jello. later when julie arrived in the evening, i made the two-pea pasta recipe from everyday food. instead of tarragon, i added bacon, which turned out to be a good choice since the pasta itself was pretty bland. i cooked the bacon in the foreman grill, which basically stripped off most of the fat, but there was just enough to still leave them tasty. i picked the recipe because of the snap peas, my new favorite vegetable, although the ones i bought from the supermarket weren't very fresh. we ate in the living room heated only by my space heater (since i turned off my heat about 2 weeks ago, incorrectly assuming that the weather wouldn't get any colder). we compared cooking magazines, of which i have a small collection. we had the panna cottas for dessert which were overwhelmed by the flavor of maple syrup i drizzled on top of it. the red sox ended up winning their game in another 9th inning 1-0 walk-off victory against the bluejays. likewise the celtics easily defeated the hawks, sending the series to a game 6 in atlanta on friday night.


_sm.jpg)

_sm.jpg)








